Categoría: Salud y Ejercicio

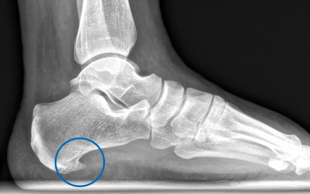
espolón calcáneo Causas, síntomas y tratamiento

espolón calcáneo Causas, síntomas y tratamiento

El espolón calcáneo es una condición común pero dolorosa que afecta a muchísimas personas. Si el dolor de talón está limitando tu vida, sigue leyendo. En este artículo, te guiaré a través de las causas, los síntomas y, lo más importante, los tratamientos efectivos para que puedas volver a caminar…

Fascitis Plantar. La Causa Real de tu Dolor de Talón y Cómo Aliviarlo

Fascitis Plantar. La Causa Real de tu Dolor de Talón y Cómo Aliviarlo

¿Sientes una punzada aguda en el talón con tus primeros pasos por la mañana? No lo ignores. Podría ser fascitis plantar, una lesión común pero dolorosa que puede frenar tu vida activa. Sigue leyendo para descubrir las causas, los tratamientos más efectivos y cómo puedes prevenirla para volver a moverte…

Desgarro muscular: tratamiento y recuperación con tecnología robótica

Desgarro muscular: tratamiento y recuperación con tecnología robótica

Un desgarro muscular puede limitar tu vida diaria y tu rendimiento deportivo. Conoce sus síntomas, causas, tipos y el mejor tratamiento para una recuperación segura.

Llega Atalante X 2026

El futuro de la rehabilitación esta por llegar...

Llega Atalante X 2026

El futuro de la rehabilitación esta por llegar...